Nahoru

Badatelská výuka v 6.A

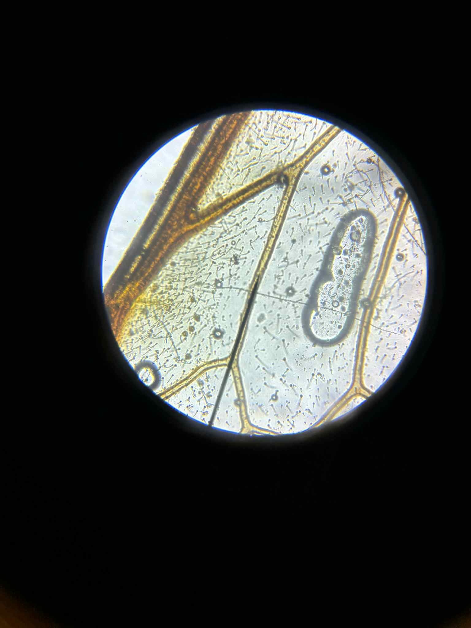
Žáci třídy 6.A si v hodině přírodopisu vyzkoušeli práci malých badatelů.

V rámci laboratorní práce se zaměřili na pozorování včely medonosné. Pomocí lupy a mikroskopu zkoumali jednotlivé části jejího těla, některé z nich po preparaci pozorovali detailně pod mikroskopem. Své poznatky pečlivě zapisovali do laboratorního listu. Praktická výuka byla pro žáky velmi přínosná a probíhala se zaujetím a velkým zájmem.

 
 

Partneři

close
Tato webová stránka používá cookies
Tato webová stránka používá nezbytné technické cookies pro zajištění správné funkcionality webu. Dále může web používat cookies pro analýzu pohybu uživatelů na webu a pro reklamní účely.
Pokud tomu tak je, naleznete v nastavení níže.
Nastavení cookies
Tyto webové stránky využívají cookies pro zajištění správné funkcionality webu, pro analýzu pohybu uživatelů na webu a pro reklamní účely. Zde můžete přijmout či odmítnout některé druhy cookies, které nejsou nezbytné pro základní funkcionalitu webu. Svůj souhlas můžete kdykoliv v budoucnu odebrat či znovu udělit.
Základní technické cookies
Tyto cookies jsou nutné pro základní funkcionalitu webu. Patří sem například přihlašování uživatelů, nebo uložení informací o souhlasu s ostatními cookies.
Analytické cookies
Analytické cookies ANONYMNĚ ukládají data o pohybu na stránkách, stráveném času u jednotlivých stránek apod.
Marketingové cookies
Marketingové cookies sledují návštívené stránky uživatele a jsou využívané k cílené reklamě u služeb jako je např. Facebook, Seznam nebo Google.